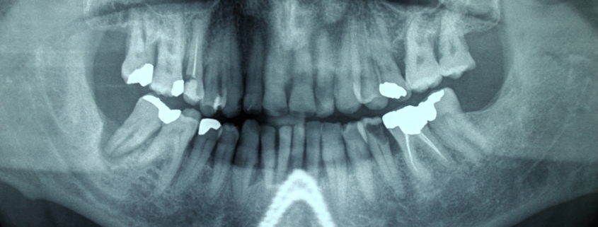
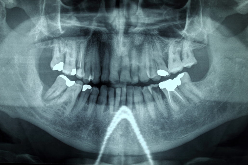
Cos’è l’Ortopantomografia?
Con il termine ortopantomografia si intende quell’esame radiografico che ci permette di vedere entrambe le arcate dentarie in una sola radiografia.
Solitamente questo esame si esegue presso studi radiologici o negli studi dentistici che possiedono l’ortopantomografo che è quel macchianario che ci permette di fare queste radiografie.





